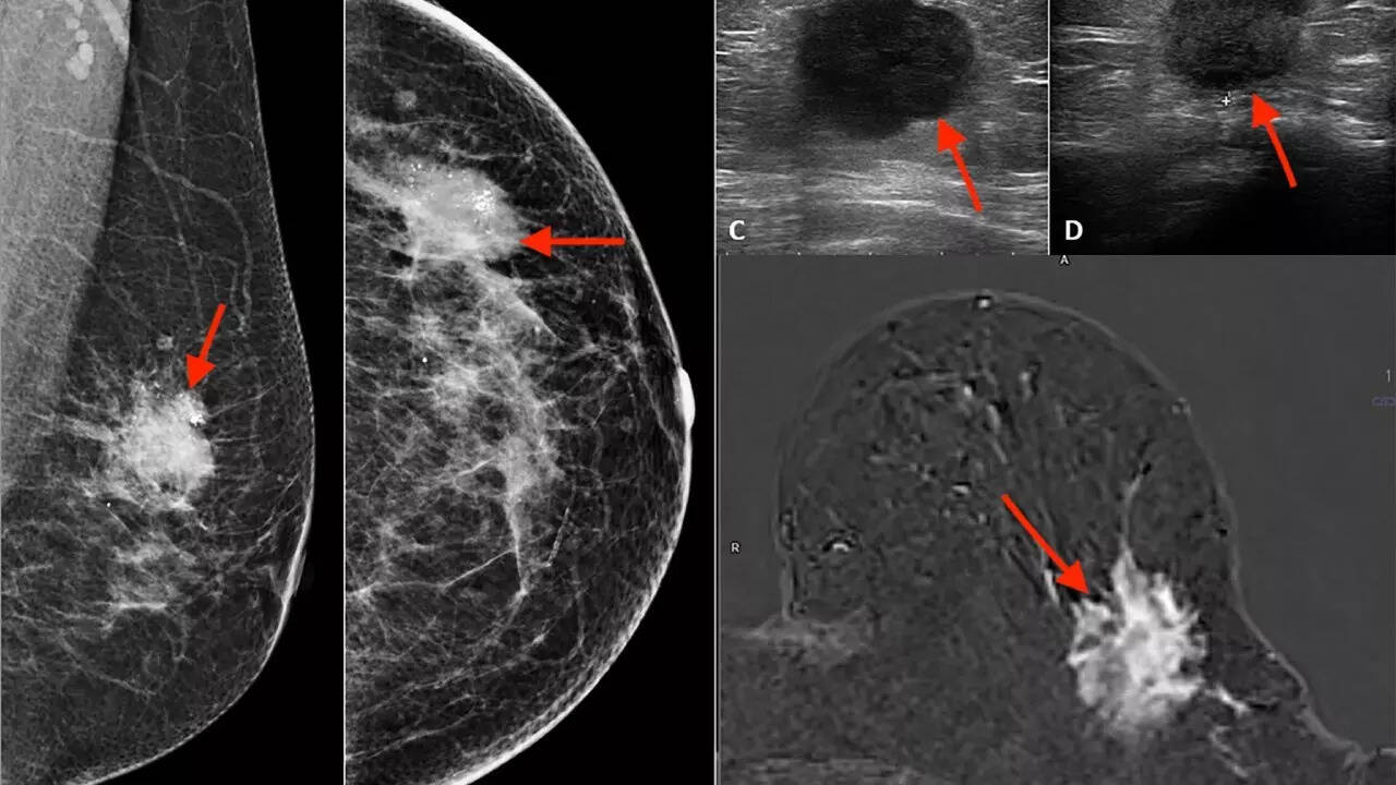
Cancer alert: Lesser-known breast cancer surging in US; what is it and the red flags to watch for

Breast cancer, one of the most aggressive kinds of cancer, remains the most commonly diagnosed cancer among women globally. Not to say that men are safe from this kind of cancer, but in 2022 alone, around 2.3 million women were diagnosed with the disease, and approximately 670,000 died. The more concerning part? The World Health Organization (WHO) has projects that, if current trends continue, both incidence and mortality will rise by about 40% by 2050 in many regions, including those with limited health infrastructure.But turns out, the traditional breast cancer isn’t the only concern now.A lesser-known form of breast cancer is quietly rising in the United States, and it’s raising concerns in patients. It’s invasive lobular carcinoma. Unlike the familiar ductal breast cancer, ILC behaves differently and can be harder to detect early. With projections estimating some 33,600 new ILC cases this year, experts are warning that awareness, recognition of warning signs, and tailored care must increase.A rising breast cancer subtype: Invasive Lobular CarcinomaAccording to a new report from the American Cancer Society, approximately 33,600 women in the US are expected to be diagnosed this year with invasive lobular carcinoma (ILC). What’s striking is that ILC incidence has been climbing at about 2.8% per year from 2012 to 2021 – much steeper than the approximately 0.8% annual rise seen for other breast cancers.ILC originates in the lobules (milk-producing glands) and often behaves differently than the more common invasive ductal carcinoma (IDC). Its growth is typically more diffuse and less likely to form a firm, well-defined tumor, which can delay detection. Strikingly, although ILC accounts for just over 10% of breast cancer cases, its long-term outcomes may lag behind IDC in metastatic or advanced disease. Experts warn that ILC’s subtle presentation contributes to underdiagnosis and slower therapy responses. Because of its stealthy behavior, many ILCs are diagnosed later or discovered only via imaging or biopsy, rather than being felt as a lump.

Why is ILC rising?
There are a few possible reasons. While no single cause is confirmed, several factors may have contributed to the surge:Screening and detection patterns: Traditional mammograms sometimes miss ILC’s diffuse growth, leading to later diagnoses. As imaging improves (e.g., MRI, tomosynthesis), more cases may be found.Hormonal exposures: Like many breast cancers, ILC is often hormone receptor–positive, meaning long-term estrogen exposure may play a role.Population aging and hormone therapy: As more women live longer or use menopausal hormone therapy, the incidence of hormone-sensitive cancers may rise.Genetic and molecular changes: Some gene variants (e.g., in CDH1, linked to lobular cancer risk) could be relevant to this subtype.Lifestyle and environment: Obesity, alcohol, delayed childbirth, or fewer pregnancies – all known general risks – may also influence ILC incidence.At the moment, the rising trend of ILC is considered a warning – prompting more research, improved screening, and increased public awareness.
Early signs: What to watch for
Because ILC can be subtle, it often does not present as a distinct, hard lump. Here are possible signs:Breast thickening or fullness: Instead of a discrete mass, you may notice an area that feels “fuller,” denser, or firmer than surrounding tissue.Change in breast shape or size: Slight asymmetry, swelling, or distortion without pain.Skin changes: Dimples, puckering, or skin texture change (“orange peel” look) in the breast.Nipple retraction or inversion: One nipple turns inward or retracts, perhaps slowly.Nipple discharge (especially bloody or watery): Unusual fluid from one nipple.Pain or discomfort: Some patients report a vague, persistent ache – not typical in many breast cancers but possible in ILC.Lymph node changes: Swelling under the arm or near the collarbone.Because these symptoms are often subtle, they can be dismissed or mistaken for benign issues. In many cases, imaging and biopsy are needed to confirm. Also, it’s noteworthy that not all breast cancers present with a lump – approximately one in six may have no palpable lump, particularly in subtypes like ILC or inflammatory breast cancer.

Risk factors: Who is more vulnerable?
Many of the risk factors for ILC overlap with general breast cancer risks, but some may be especially relevant:Being female and increasing age: Most breast cancers, including ILC, occur in older women.Hormonal and reproductive history: Early menstruation, late menopause, fewer pregnancies, and late first childbirth – all increase lifetime estrogen exposure.Hormone replacement therapy: Use of combined estrogen and progesterone therapy may raise the risk for hormone-sensitive cancers like ILC.Genetic predisposition: Mutations like CDH1 are linked to lobular breast cancer syndromes. Also inherited mutations such as BRCA1/BRCA2, though less specific.Family history of breast cancer: Having close relatives with breast cancer generally increases the risk.Breast density: Dense breast tissue makes detection harder and is an independent risk factor.Lifestyle factors: Obesity (especially postmenopausal), alcohol consumption, and lack of physical activity are established risk factors.Prior chest radiation exposure: Particularly if applied earlier in life (e.g., for lymphoma), increases breast cancer risk.Because ILC tends to have hormone-receptor positivity, hormonal exposures may have a greater role.The rising incidence of ILC is indeed a serious trend. Even though it is still less common, its stealthy behavior demands increased awareness. What can you do to be aware? Don’t wait for a “lump.” Watch for subtle signs like breast thickening, shape change, nipple inversion, skin dimpling, or discharge. Know your personal risk – especially hormonal, genetic, and lifestyle factors – and consult with a professional healthcare provider. If you notice any persistent change in your breast, however slight, do not dismiss it: get it evaluated. Early detection is always more effective.